Meet Our Doctors
Surgery with Care


Cataracts
This clouding of the eye’s natural lens causes blurry vision, faded colors, and increased sensitivity to light.


Upper Blepharoplasty
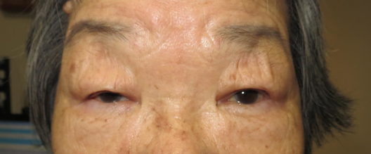
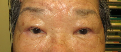
Upper Dermatochalasis: Excess eyelid skin, which can impair the superior view of a patient.


Ptosis Repair
Ptosis: Droopiness of the upper eyelid(s), which can impair the superior view of a patient.
Dr. Fong and her team were fantastic and we cannot thank them enough for their help. We were overseas tourists and my son lost his high powered glasses in a tidal wave when swimming. Dr. Fong's team went out of their way to help my son with getting emergency contact lenses that helped us till we got home. Thank you for your kindness and all you help!
Aartee Saki
Have Questions? Contact Our Eye Care Team
We're here to support you on your journey to better vision. Whether you have questions about our services, need help booking an appointment, or want to learn more about a specific eye condition, our knowledgeable and caring team is ready to assist you.
Don’t hesitate to reach out—we’re just a call or message away.
Office Hours:
Monday - Friday:
8am - 12pm & 1pm - 4:30pm
*Select Saturdays: 8am - 12pm
Sundays:
CLOSED
(*Clinic open 2 Saturdays a month)
Holiday Hours 2025:
November 27 & 28
Closed all day.
December 24
open 8 - 12pm,
December 25 & 26
Closed all day.
December 31
Open 8-12pm, Jan 1 closed all day.
Visit our Office
Suite 212 850 West Hind Drive
Honolulu, HI 96821
Because Your Vision Deserves the Best
Your eyes are your window to the world - make sure they’re in the best hands. Whether you are due for a routine check-up, need new glasses or contacts, or exploring surgical options, we hope you will give us a call. We look forward to serving you and keeping your eyes healthy. Mahalo for choosing Aina Haina Eye Center!